News
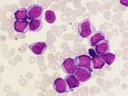
Researchers at Dresden University Hospital may have discovered a new therapeutic approach for treating myelodysplastic syndromes (MDS). In a recent study, the team headed by Prof. Manja Wobus and Dr. Katja Sockel demonstrated that the anti-inflammatory drug tasquinimod improves blood formation—which is impaired in MDS—and reduces bone damage in preclinical models. Their findings address two central and closely related clinical issues associated with MDS. The corresponding study on the preclinical efficacy of tasquinimod in myelodysplastic syndromes was recently published in the journal “HemaSphere,” a specialist journal for hematology.
Acute myeloid leukemia (AML) is a particularly aggressive form of blood cancer that usually progresses rapidly if swift and intensive treatment is not applied. Although the disease can often be contained by chemotherapy (remission), it returns in many patients. A permanent cure is often only possible with a stem cell transplant - provided that the leukemia can be sufficiently contained beforehand. A new Germany-wide study led by the Dresden University Medicine has shown that the combination of intensive chemotherapy and the substance venetoclax can significantly improve the success rate of treatment of aggressive acute leukemia. This has been confirmed by the results of RELAX, with remission in 75% of the cases compared to the past attempts yielding an only 40 percent remission rate. The study was published today, March 4, in the renowned journal The Lancet Haematology.
Nutrition is an essential part of cancer treatment, as it has a significant influence on the course of the disease, the tolerability of the therapy and the quality of life. Structured, nutritional therapy by qualified specialists helps to prevent malnutrition, can improve the patients’ response to therapies, reduce side effects, strengthen the immune system and improve their general well-being.
Better treatment for blood cancer: study starts in Dresden and KielAt the beginning of 2026, RELEVANT (ETAL-5), currently Germany’s largest study on allogeneic stem cell transplantation for patients suffering from Acute Myeloid Leukemia (AML) or Myelodysplastic Syndrome (MDS), was launched. For many of these diseases, stem cell transplantation is currently the only curative treatment option. The study, led by researchers from Dresden and Kiel, aims to improve treatment options and long-term survival for older patients or patients with preexisting comorbidities.
On the occasion of International Childhood Cancer Day (ICCD) on February 15, the Pediatric Oncology Center at the National Center for Tumor Diseases (NCT/UCC) Dresden is drawing attention to two new, pioneering care projects that have been launched in Saxony. The goal is to enable children and adolescents with cancer, as well as their families, to access to the best possible university-level care regardless of where they live.
World Cancer Day on February 4 provides an opportunity to focus on rare tumor diseases such as primary brain tumors. Owing to their location, these tumors pose particular challenges for patients, their families, and the healthcare system. Diagnosis is complex and treatment highly specialized, as as these tumors arise in close proximity to the brain, cranial nerves, sensory organs, and major central blood vessels. In Germany, there are only 20 to 25 new cases per 100,000 inhabitants each year; nevertheless, the functional impact of primary brain tumors can be severe.
A study by the Mildred Scheel Early Career Center group led by Dr. Mohamed Elgendy at the TUD Faculty of Medicine provides fundamental insights into cancer biology. Published in the renowned journal Nature Communications, the study shows for the first time that the protein MCL1 not only inhibits programmed cell death, but also plays a central role in tumor metabolism.
The National Center for Tumor Diseases (NCT/UCC) Dresden has been combining scientific innovation and modern patient care under one roof for the last ten years. Experts from the fields of medicine, research and technology cooperate closely to significantly improve the diagnosis and treatment of cancer. Thanks to strong ties with the University Cancer Center (UCC), founded in 2003, and the interplay of clinical expertise, high-tech infrastructure and interdisciplinary research, NCT/UCC represents a center in Dresden that has set high standards throughout Germany.
The PROSa+ study is the first study in Germany to focus on the quality of life and healthcare experiences of long-term survivors of sarcoma. Recruitment will begin in December 2025. Individuals whose sarcoma diagnosis dates back at least five years are invited to participate in the nationwide survey.
Under the leadership of Prof. Jakob N. Kather, Professor of Clinical Artificial Intelligence at EKFZ for Digital Health, TUD, and Dresden University Hospital Carl Gustav Carus (NCT/UCC), an international expert panel has developed guidelines for the safe use of large language models (LLMs) in oncology. Prof. Stephen Gilbert and Dr. med. Isabella Wiest, EKFZ for Digital Health, also contributed their expertise. The initiative was convened under the European Society for Medical Oncology (ESMO) as part of its “Real World Data & Digital Health Task Force”. The new framework aims to help patients, clinicians and institutions to adopt AI language tools responsibly.
A review analyzes over 13,000 publications covering this topic. From this, scientists extracted 32 recommendations for long-term, efficient, and tailored follow-up care for young patients.
Dr. Helena Jambor, a molecular biologist at the University of Applied Sciences of the Grisons in Chur and the Faculty of Medicine at TU Dresden with the NCT/UCC Dresden, has now developed a practice-oriented checklist to help researchers design clear and effective scientific figures. The accompanying paper and the checklist were recently published in the journal Nature Cell Biology.
The NCT is supporting a promising new treatment approach for patients with advanced solid tumors. A newly developed TCR-T cell therapy will undergo its first clinical testing in the multicenter ToMA4TA1 trial starting in 2027.
As part of a clinical trial, the National Center for Tumor Diseases (NCT/UCC) Dresden is now offering patients with pancreatic cancer (pancreatic carcinoma) the opportunity to participate in an innovative treatment using a personalized mRNA-based cancer vaccine following surgery.
So far, there is little scientific knowledge about the life situation of long-term sarcoma survivors. Researchers under the leadership of the National Center for Tumor Diseases (NCT/UCC) Dresden want to close this gap by conducting the “PROSa+” clinical trial and by systematically recording the needs and risks of this patient group.
An interdisciplinary research group at the National Center for Tumor Diseases (NCT/UCC) Dresden, a joint institution of the German Cancer Research Center (DKFZ), the Faculty of Medicine at TUD, University Hospital Dresden, and the Helmholtz-Zentrum Dresden-Rossendorf, has been able to make a human genetic diagnosis for a family using an innovative sequencing method. The study “Long-read genome and RNA sequencing resolve a pathogenic intronic germline LINE-1 insertion in APC” by Dresden University Medical Center has now been published in npj Genomic Medicine.
An international research group led by scientists from the National Center for Tumor Diseases (NCT/UCC) in Dresden has now succeeded for the first time in a phase 1 clinical trial in testing a novel cell therapy approach that also shows promise for solid tumors. The results were now published in the renowned journal Nature Medicine.
The further development of molecular cancer therapies is a focus at the National Center for Tumor Diseases (NCT/UCC) Dresden. Among other things, genome sequencing is of great interest here, which involves analyzing the genetic material of a cell as comprehensively as possible.
Acute myeloid leukemia (AML) is an aggressive form of blood cancer that carries a high risk of relapse even after stem cell transplantation. The PIVOT clinical trial, which has now been launched by scientists from Dresden and Kiel, is investigating whether the drug Ivosidenib can help to reduce the risk of relapse and improve patients' chances of survival.
The University Hospital Carl Gustav Carus Dresden has been awarded the contract to participate in the model project Genome Sequencing for Tumor Patients and Patients with Rare Diseases.
With the exhibition "From Shadow to Light", six master students from the Dresden University of Fine Arts (HfBK Dresden) approached these questions in 2023/24. After the works by Eric Beier, Noemi Durighello, Hanne Lange, Michael Merkel, Julia Schmelzer and Tillmann Ziola have been on display at the NCT/UCC Dresden for a year, the exhibition will go on tour from February 4. It will initially be on display for almost four weeks at Dresden's Altmarkt-Galerie.
Recruitment for RATIONALE will begin at the NCT in 2025. The study is investigating the benefits of molecularly controlled treatment for patients with rare cancers. The researchers want to prove that the progression-free survival of patients with advanced rare cancers can be doubled compared to standard therapy. For the first time, all six NCT sites are pooling their joint expertise in a study involving patients throughout Germany.
Researchers from Dresden want to bring sensors that have so far only been used in quantum computing and communication to the operating room. An EU grant totaling EUR 5 million over four years is supporting the consortium in developing and implementing this technology.
In December, Forbes magazine named Dr. Fiona Kolbinger one of the most influential young scientists on its famous “30 under 30 North America 2025” list. With her research at the interface between surgery, data science and computer science, Kolbinger is developing pioneering AI methods for improved treatment in difficult operations.
A research alliance from Cambridge (Great Britain), Daejeon (South Korea) and Dresden is working to shed some light on the origin of clonal pathogenesis with the joint project "ClonEScape". For this project, the scientists Prof. Benjamin Simons (University of Cambridge), Dr. Maria Alcolea (University of Cambridge), Dr. Bon-Kyoung Koo (Institute for Basic Science) and Prof. Daniel Stange (TU Dresden) have been awarded the prestigious Synergy Grant of the European Research Council (ERC) alongside funding amounting to almost EUR 10M.
Digitalization is playing an increasingly important role in laboratories as well. The use of artificial intelligence in data analysis significantly expands possibilities in the areas of diagnostics and individualized therapies. Therefore, the German Society for Clinical Chemistry and Laboratory Medicine (DGKL) awards the Digital Laboratory Funding Prize for outstanding scientific achievements.
18.09.2024: Biochemist Oliver Bruns (NCT/UCC Dresden) and chemist Ellen Sletten (UCLA) have been presented with the Helmholtz High Impact Award 2024 by the Helmholtz Association and the “Stifterverband für die Deutsche Wissenschaft” for their research into an innovative medical imaging technology in the short-wave infrared range. The procedure they have developed has the potential to significantly improve surgical removal of tumors. At yesterday’s award ceremony in Berlin, the two scientists were presented with the award – endowed with € 50,000 – in recognition of their interdisciplinary research.
30.08.2024: An international group of scientists led by Prof. Oliver Bruns (NCT/UCC Dresden), Dr. Andriy Chmyrov (NCT/UCC Dresden), Prof. Ellen Sletten (UCLA) and Prof. Christopher Rowlands (Imperial College London) has once again received renowned funding from the Chan Zuckerberg Initiative. With their research, the team strives to improve imaging in deeper tissue layers.