Aktuelles

veröffentlich am: 10.06.2025

Langzeitüberleben nach Krebs: Deutsche Krebshilfe fördert Dresdner „PROSa+“-Studie zu Spätfolgen bei Sarkomen mit 900.000 Euro

Über die Lebenssituation von Langzeitüberlebenden bei Sarkomen liegen bislang nur wenige wissenschaftliche Erkenntnisse vor. Forschende unter der Federführung des Nationalen Centrums für Tumorerkrankungen (NCT/UCC) Dresden wollen mit der Studie „PROSa+“ diese Lücke schließen und Bedarf sowie Risiken dieser Patient:innengruppe systematisch erfassen.

veröffentlich am: 05.05.2025

Hilfe für Familie mit Seltener Erkrankung: Forschende der Dresdner Hochschulmedizin nutzen neue Methode für humangenetische Diagnose

Eine interdisziplinäre Forschungsgruppe am Nationalen Centrum für Tumorerkrankungen (NCT/UCC) Dresden, einer gemeinsamen Einrichtung von Deutschem Krebsforschungszentrum (DKFZ), Medizinischer Fakultät der TUD, dem Universitätsklinikum Dresden und dem Helmholtz-Zentrum Dresden-Rossendorf, konnte mit einer neuen Sequenziermethode eine humangenetische Diagnose für eine Familie stellen. Die Studie „Long-read genome and RNA sequencing resolve a pathogenic intronic germline LINE-1 insertion in APC“ der Hochschulmedizin Dresden wurde jetzt im „npj Genomic Medicine“ veröffentlicht.

veröffentlich am: 25.04.2025

Forschungserfolg der Dresdner Hochschulmedizin: Neue Zelltherapie zeigt vielversprechende Ergebnisse bei fortgeschrittenen Tumorerkrankungen

Einer internationalen Forschungsgruppe unter Führung von Wissenschaftlerinnen und Wissenschaftlern des Nationalen Centrums für Tumorerkrankungen (NCT/UCC) Dresden ist es mit einer neuartigen Zelltherapie nun erstmals gelungen, in einer klinischen Phase-1-Studie einen Ansatz zu erproben, der auch bei soliden Tumoren erfolgversprechend ist. Die Ergebnisse wurden jetzt in der renommierten Fachzeitschrift Nature Medicine veröffentlicht.

veröffentlich am: 12.03.2025

Personalisierte Therapien bei Leukämie: Klinische Studie aus Dresden und Kiel untersucht neue Medikation nach Stammzelltransplantationen

Die akute myeloische Leukämie (AML) ist eine aggressive Form von Blutkrebs, bei der auch nach einer Stammzelltransplantation ein hohes Rückfallrisiko besteht. Die jetzt von Wissenschaftler:innen aus Dresden und Kiel gestartete klinische Studie PIVOT untersucht, ob das Medikament Ivosidenib dabei helfen kann, das Risiko eines Rückfalls zu verringern und die Überlebenschancen von Patientinnen und Patienten zu verbessern.

veröffentlich am: 14.02.2025

Genomsequenzierung bei Seltenen und Krebserkrankungen

Universitätsklinikum Dresden startet im Modellvorhaben Genomsequenzierung zur umfassenden Diagnostik und Therapiefindung. Erstmals genomweite Analyse des gesamten Erbguts im Rahmen der wissensgenerierenden Versorgung. Chance für individuelle Therapien und passgenaue Diagnostik.

veröffentlich am: 03.02.2025

Weltkrebstag am 4. Februar: Vom Schatten ans Licht

Mit der Ausstellung „Vom Schatten ans Licht“ näherten sich in den Jahren 2023/24 sechs Meisterschülerinnen und -schüler der Hochschule für Bildende Künste Dresden (HfBK) dem Thema Krebs. Nachdem die Arbeiten von Eric Beier, Noemi Durighello, Hanne Lange, Michael Merkel, Julia Schmelzer und Tillmann Ziola ein Jahr lang im NCT/UCC Dresden zu sehen waren, geht die Ausstellung ab dem 4. Februar auf Tour. Zunächst ist sie für knapp vier Wochen in der Dresdner Altmarkt-Galerie zu sehen.

veröffentlich am: 16.12.2024

EU-Millionen für Dresden zur Entwicklung von portablen Quantum Sensoren: Hochtechnologie aus dem Quantencomputing soll neue Möglichkeiten in der Neurochirurgie eröffnen

Forschende aus Dresden wollen Sensoren, die bislang nur im Quantencomputing und der Quantenkommunikation zum Einsatz kommen, in den OP-Saal bringen. Ein EU-Grant über fünf Millionen Euro mit einer Laufzeit von vier Jahren unterstützt das Konsortium bei der Entwicklung und Implementierung dieser Technologie.

veröffentlich am: 12.11.2024

Benefizkonzert „Takte gegen Krebs“: Mitreißende Klänge und bewegende Momente

Am 22. November findet das Benefizkonzert "Takte gegen Krebs" in der Dresdner Lukaskirche statt. In diesem Jahr laden die Musikerinnen und Musiker des Universitätsorchester Dresden und des Ensemble Consociati zu einem abwechslungsreichen Programm mit Werken von J.S. Bach, P.I. Tschaikowski und einer Uraufführung von Hiroki Tanaka ein. Das Benefizkonzert kommt einem Projekt am Nationalen Centrum für Tumorerkrankungen (NCT/UCC) Dresden zugute, das junge Menschen mit einer Krebserkrankung vernetzt.

veröffentlich am: 11.12.2024

Forbes „30 under 30“: UKD-Medizinerin Fiona Kolbinger gehört zu den vielversprechendsten jungen Wissenschaftlerinnen und Wissenschaftlern

Das Forbes-Magazin kürte im Dezember Dr. Fiona Kolbinger auf ihrer berühmten Liste „30 under 30 North America 2025“ zu den einflussreichsten jungen Wissenschaftlerinnen und Wissenschaftlern. Mit ihrer Forschung an der Schnittstelle zwischen Chirurgie, Datenwissenschaften und Informatik entwickelt Kolbinger wegweisende KI-Methoden für eine verbesserte Behandlung bei schwierigen Operationen.

veröffentlich am: 05.11.2024

ERC Synergy Grant für ClonEScape: Der Entstehung von Tumoren auf der Spur

Ein Forscherverbund aus Cambridge (Großbritannien), Daejeon (Südkorea) und Dresden will dem Ursprung der klonalen Pathogenese mit dem gemeinsamen Projekt „ClonEScape“ auf den Grund gehen. Dafür erhalten Prof. Benjamin Simons (University of Cambridge), Dr. Maria Alcolea (University of Cambridge), Dr. Bon-Kyoung Koo (Institute for Basic Science) und Prof. Daniel Stange (TU Dresden) den renommierten ERC Synergy Grant verbunden mit einer Förderung in Höhe knapp 10 Millionen Euro.

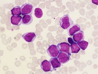
veröffentlich am: 02.10.2024

Dresdner Forscher erhalten Förderpreis für die Entwicklung von KI-Modellen zur Erkennung von Leukämie im Knochenmark

Digitalisierung spielt auch im Labor eine zunehmend wichtige Rolle. Der Einsatz von künstlicher Intelligenz in der Datenanalyse erweitert die Möglichkeiten in den Bereichen Diagnostik und individualisierte Therapien erheblich. Die Deutsche Gesellschaft für klinische Chemie und Laboratoriumsmedizin (DGKL) verleiht deshalb den Förderpreis Digitales Labor für herausragende wissenschaftliche Leistungen.

veröffentlich am: 18.09.2024

Neue Bildgebungsverfahren in der Krebschirurgie: Helmholtz High Impact Award für Oliver Bruns und Ellen Sletten

18.09.2024: Der Biochemiker Oliver Bruns (NCT/UCC Dresden) und die Chemikerin Ellen Sletten (UCLA) werden für ihre Forschung an einer neuen medizinischen Bildgebungstechnologie im kurzwelligen Infrarotbereich von der Helmholtz-Gemeinschaft und dem Stifterverband für die Deutsche Wissenschaft mit dem Helmholtz High Impact Award 2024 ausgezeichnet. Das von ihnen entwickelte Verfahren hat das Potenzial, das operative Entfernen von Tumoren deutlich zu verbessern. Bei der gestrigen Preisverleihung in Berlin wurde den beiden Wissenschaftler:innen der mit 50.000 Euro dotierte Preis für ihre interdisziplinären Forschungsarbeiten übergeben.

veröffentlich am: 30.08.2024

NCT/UCC Dresden: Millionenförderung der Chan Zuckerberg Initiative für hochmoderne Bildgebung zur präzisen Erkennung kleinster Tumore

30.08.2024: Eine internationale Gruppe von Wissenschaftlerinnen und Wissenschaftlern unter der Leitung von Prof. Oliver Bruns (NCT/UCC Dresden), Dr. Andriy Chmyrov (NCT/UCC Dresden), Prof. Ellen Sletten (UCLA) und Prof. Christopher Rowlands (Imperial College London) erhält erneut eine hochkarätige Förderung der Chan Zuckerberg Initiative. Das Team will mit seiner Forschung die Bildgebung in tieferen Gewebeschichten verbessern.